75186 vizitor
16 postime
slideshow
STANDART
Post 16 max
Foto 6 max
Ofertat e biznesit - Mire se vini ne SORRISO A TIRANA ( 16 oferta )
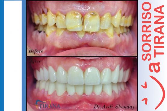
Dentisti in Albania, Denti in Albania, Estetica in zirconio, vantaggi e ...
Specialista Maxi faciale, Cura dei denti, turismo dentale albania, le mi...
Estetica dentale, Impianti dentali, impianti dentali costo, impianti den...
Turismo dentale, Turismo Dentale in Albania, best dentist in tirana dent...
La Migliore Clinica per il Turismo Dentale, risparmia e sorridi con noi,...
Albania dentist prices, toronto dental clinic albania, best dental clini...
Denti in zirconio, denti in zirconio pro e contro, denti in zirconio pre...
Dentisti à Tirana, Turismo Dentale in Albania con Turista Sorridente den...
Denti in Albania prezzo, rifarsi i denti in albania costo, denti in alba...
Dental center albania, cost of dental implants in albania, dental implan...
Turismo dentale Viaggi, Viaggiare e sorridere, sorridi e risparmi, denti...
Dental tourism albania, reviews, price, packages, cost, albania dentist ...
1 / 2 faqe 1 / 2